バックナンバー 一覧
-

肥満に脳の信号伝達が関連
脳内に,食物摂取や体重を制御し,肥満に関連する信号伝達経路があることが明らかになった。脳の視床下部にあるこの経路は,もともと,刺激されると体内の炎症を引き起こすことで知られている。マウスを使った動物実験では,この…
Oct. 31, 2008
-

反社会的行動は治療が可能?
犯罪や非行といった反社会的行動にホルモンが関連していることが明らかになった。人前で話す,試験を受ける,などストレスの多い状況では,通常,ストレスホルモンと呼ばれるコルチゾールが多く分泌され,暴力的な衝動などの感情…
Oct. 24, 2008
-

包装用プラスチックは危険?
プラスチックの包装材料などに使われている化学物質,ビスフェノールA(BPA)は,動物への悪影響が認められていることから,人間に対する安全性が懸念されている。このほど,1,400人以上の成人に関する調査の結果,BP…
Oct. 17, 2008
-

恐怖の遺伝子が親を過保護に
動物の恐怖感をコントロールする遺伝子が,子供を守る親の行動を促進することがわかった。マウスを使った実験で,この遺伝子が正常な母親マウスは巣の外に散らばった子供たちを素早く連れ戻したが,遺伝子を不活性化したマウスは…
Oct. 10, 2008
-

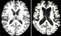
身近なビタミンが脳を保護
肉や魚,牛乳などに含まれるビタミンB12には,老化による脳の萎縮を防ぐ効果があるかもしれない。こんな研究結果が明らかになった。61~87歳の100人以上を対象に,血液中にあるビタミンB12の量を測定し,脳スキャン…
Oct. 03, 2008
-

夫婦の仲も遺伝子次第?
男性の遺伝子に起こる変異が,夫婦やカップルの関係に影響することがわかった。バソプレシンと呼ばれるホルモンの受容体の遺伝子については,変異型をまったく持たない人,変異型を1つ持つ人,変異型を2つ持つ人がいる。双子と…
Sep. 26, 2008
-

インスリンを作る細胞を作製
再生医療は,損傷した臓器やその機能を蘇らせることを目的とした医療である。従来,再生医療ではさまざまな細胞に分化できる胚性幹細胞を使ったり,遺伝的に細胞をプログラムし直したりする方法で,治療に役立つ細胞を作製してい…
Sep. 19, 2008
-

皮膚癌に特有のにおいを発見
「におい」で皮膚癌の早期発見ができるようになるかもしれない。人間の皮膚はさまざまなにおいの化学物質を発散している。基底細胞癌と呼ばれる皮膚癌に侵された人と健康な人からそれぞれ皮膚の周りの空気を採取して比べたところ…
Sep. 12, 2008
-

飲むだけのエクササイズ?
薬を飲むだけで,トレーニングしたように劇的に持久力が上がる方法が開発された。以前,遺伝子を利用して実験動物の持久力を高め肥満になりにくくすることに成功した研究班が,同様の効果をもつ薬を開発した。ところがこの薬は動…
Sep. 05, 2008
-

トラウマを防ぐタンパク質
トラウマ(精神的外傷)は恐ろしい体験の記憶から生まれ,その恐怖感は長期間持続することが知られているが,この過程を阻害するタンパク質が発見された。このタンパク質はニューロペプチドSと呼ばれ,脳の記憶を保持する部分に…
Aug. 29, 2008
-

子供の笑顔で脳が活性
母親を喜ばせる赤ちゃんの笑顔が,脳の報酬系と呼ばれる部分を刺激することがわかった。報酬系は欲求が満たされた時に快いと感じる反応を引き起こし,薬物依存にも関与している。28人の母親に自分の子供と他人の子供の顔写真(…
Aug. 22, 2008
-

虫が知らせる薬効成分
植物に集まる昆虫の色が,薬効成分を含む植物の識別に役立つことが明らかになった。熱帯林に育つ植物のうち,マラリアなどの原因となる寄生虫や癌細胞に作用する成分を含んでいるものを使って,これらの植物にどんな色の昆虫が集…
Aug. 08, 2008
-

禁煙仲間の輪は喫煙者を疎外
米国の喫煙率はかなり減ってきているが,ある人が禁煙する場合,その人の配偶者や家族,友人,同僚など周りの多くの人たちも禁煙する傾向にあることが明らかになった。マサチューセッツ州のある町の住民約12,000人のデータ…
Aug. 01, 2008
-

アルツハイマー病にワクチン
新たに開発されたワクチンが,マウスを使った実験でアルツハイマー病の発症を防いだ。このワクチンは,アルツハイマー病患者の脳に蓄積される物質,アミロイドβタンパク質に対する免疫応答を促進するよう設計された。実験では,…
Jul. 25, 2008
-

母のストレスで子供が喘息に
母親が妊娠中に経済的問題や人間関係などの心理的ストレスを受けると,生まれた子供に喘息やアレルギーが起こりやすくなるとの研究結果が発表された。この研究では母親が受けたストレスと,アレルギーの原因となるダニにさらされ…
Jul. 18, 2008
-

乳癌を予測する「分子時計」
メチル化という遺伝子の化学反応は,細胞分裂が何回起こっているかを示す生物学的な時計に例えられるが,これはどうやら乳癌の危険性の推測にも役立ちそうだ。乳癌患者では,正常に見える細胞においても癌の発生を抑制する遺伝子…
Jul. 11, 2008
-

少食が長生きにつながる理由
肥満を避ければ成人病の予防に役立つのは常識だが,寿命を延ばすには運動するよりも食べる量を減らす方が効果的であることが,マウスを使った実験で示された。その理由として,運動が組織やDNAを損傷してしまうからなのか,食…
Jul. 04, 2008
-

バイアグラが難病に効果
筋ジストロフィーでは骨格筋が萎縮するとともに,大半の患者で若い時に心臓の障害が起こるが,勃起不全治療薬シルデナフィル(商品名:バイアグラ)にこのような心機能低下を改善する効果があることが明らかになった。筋ジストロ…
Jun. 27, 2008
-

おいしそうに見せるホルモン
食欲には体を維持するためのものと,視覚や匂いからもたらされる快楽的なものがあるが,この両者にはどうやら密接な関係があるようだ。胃が空になると分泌されるホルモン,グレリンは,空腹か満腹かにかかわらず視覚的にも食欲を…
Jun. 20, 2008
-

熱に敏感にして癌治療を強化
癌の放射線療法は,腫瘍の温度を高める温熱療法との組み合わせでより効果が高まるといわれているが,その効果をさらに高める方法が考案された。酵素のひとつであるテロメラーゼは細胞の分裂を助ける働きがあることから,特に癌細…
Jun. 13, 2008

