(C) Oiao Zhou (Melton Laboratory, HHMI at Harvard University)
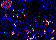
白の点線内は内在性の膵島,
赤い部分は新しいβ細胞
再生医療は,損傷した臓器やその機能を蘇らせることを目的とした医療である。従来,再生医療ではさまざまな細胞に分化できる胚性幹細胞を使ったり,遺伝的に細胞をプログラムし直したりする方法で,治療に役立つ細胞を作製していた。ところがこのような方法ではなく,はるかに簡単な方法で,I型糖尿病の治療に役立つβ細胞を作製できることがマウスを使った実験で示された。膵臓の大部分は外分泌細胞から構成されていて,インスリンを産生するβ細胞は比較的少ない。実験では,ウイルスを使ってこの外分泌細胞をβ細胞に変換させたそうだ。(吉田素子)
Howard Hughes Medical Institute(1) researchers(2) have converted(3) adult pancreatic cells(4) into insulin(5)-producing(6) beta cells(7) in living mice(8). This is a first because the researchers directly changed the functional(9) identity(10) of adult cells without using embryonic stem cells(11) or relying on(12) techniques that reverse(13) a cell's genetic programming(14)to its earliest stages.
Remarkably(15), the investigators(16) repurposed(17) the adult cells quickly by using viruses(18) to shuttle(19) just three regulatory genes(20) that triggered(21) the remarkable developmental(22) changes. It took only a brief blip of(23) activity by the regulatory genes to imbue(24) the cells with their new job descriptions(25), which they have retained(26) for as long as nine months.
The experiments, which are reported on August 27, 2008, in an advance online publication(27) in the journal Nature, realize a longtime goal in regenerative medicine(28): To produce specialized repair cells(29) directly from a pool of(30) adult cells that are healthy, abundant(31) and easily obtained(32). Until now, repair cells have been generated(33) from embryonic stem cells or more recently from pluripotent(34) stem cells created by fully reprogramming(35) adult cells.
“What this shows is that you can go directly from one type of adult cell to another, without going back to the beginning,” said Douglas A. Melton, a Howard Hughes Medical Institute (HHMI) investigator at Harvard University and co-director of the Harvard Stem Cell Institute. “You could say, for example, it's like turning a scientist into a lawyer without sending her all the way back to kindergarten.”
In this case, the strategy(36) was used in mice to convert exocrine cells(37), which compose(38) 95 percent of the pancreas(39), to the relatively scarce(40) beta cells that produce insulin.
(1) 研究所 (2) 研究者 (3) ~を変換した (4) 膵臓細胞 (5) インスリン (6) ~を産生する
(7) β細胞 (8) マウス (9) 機能的 (10) 固有性 (11) 胚性幹細胞 (12) ~に頼ること
(13) 反対方向に向ける (14) 遺伝的プログラミング (15) 驚くべきことに (16) 研究者
(17) ~に新しい目的を与えた (18) ウイルス (19) ~を運搬する (20) 制御遺伝子
(21) ~を誘発した (22) 発生上の (23) わずかな (24)(~A with B)AにBを染み込ませる
(25) 職務明細書(ここでは細胞の機能を指す) (26) 持っていた (27) 先行オンライン発行物
(28) 再生医療 (29) 修復細胞 (30) ~の集まったもの (31) 豊富な (32) 手に入れられる
(33) 作られてきた (34) 多能性の (35) 再度プログラムし直すこと (36) 方法 (37) 外分泌細胞
(38) ~を構成する (39) 膵臓 (40) まれな

